3D打印定制部分肱骨?厉害了!
??鲁网8月15日讯 76岁的刘阿姨(化名)发现左上肢出现疼痛、肿胀等现象,保守治疗未见成效,疼痛逐渐加重,甚至无法入睡。为了明确诊断以及进一步治疗,刘阿姨就诊于潍坊市人民医院关节外科二区副主任医师曹学军门诊。经诊断,刘阿姨左肱骨上长了个“恶性肿瘤”,而该部位肿瘤的常规治疗方案就是“截肢”。
??此时的刘阿姨一边饱受着病痛的折磨,一边为即将失去一只手臂感到难过。曹学军充分考虑她渴望保全手臂的意愿后,立即对病情进行了全方位的评估,分析了影像资料。考虑到肿瘤主要集中在肱骨后,曹学军认为完全可以在根治性切除肿瘤的同时,保留肢体形态与功能。经过周密的手术方案设计与术前评估,曹学军最终决定为患者进行高难度的肱骨肿瘤切除+3D定制部分肱骨假体置换手术。

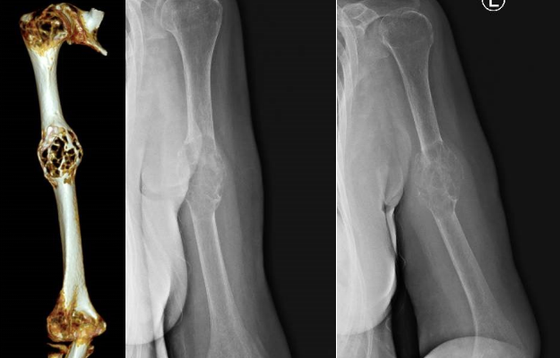
??患者术前影像学检查
??定制3D人工假体,须做到个性化和精细化的准备。术前,进行了精确的肱骨及肩、肘关节径线、角度的测量。由于部分肱骨置换术难度大,且肱骨周围分布着重要的神经、血管,稍有不慎就会造成患肢血液循环和功能的严重障碍。为了保证患肢功能的恢复,在肱骨肿瘤切除后,还需要进行繁琐的重建程序,尤其要把握好假体放置的各种角度、各组肌腱止点恰当牢固的重建、假体长度的精细调整,以满足术后患肢的功能得到最大程度的恢复。
??最终,曹学军顺利为刘阿姨完成了手术,术中病理结果提示肿瘤切缘干净。术后3天,刘阿姨就可以慢慢开始进行功能锻炼了。术后一周,患肢的疼痛基本消失,功能也恢复了80%以上。近期,刘阿姨进行了术后的复查,复查结果显示肿瘤未见复发,假体位置良好。现在肢体功能已经恢复了90%以上,除了不能提重物以外,完全可以正常生活。

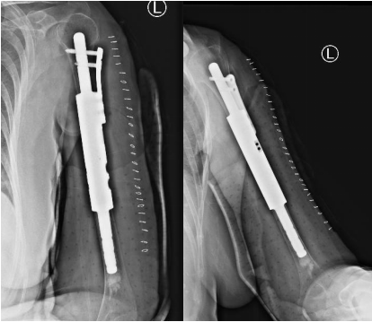
??患者术后影像学检查
??随着保肢技术的逐渐成熟以及3D打印和医学材料的发展,以综合治疗为基础的保肢治疗现在已经成为一种常规治疗。肱骨肿瘤切除+3D定制部分肱骨假体置换手术的顺利完成,代表着潍坊市人民医在骨肿瘤高难度手术方面的技术日臻成熟。(通讯员 纪哲)