“拆弹”、血肿清除两不误,潍坊市中医院神经外科专家妙手解危局
??鲁网5月17日讯 5月9日,潍坊市中医院神经外科联合麻醉科、介入导管室,成功为一名因动脉瘤破裂而陷入昏迷的患者实施颅内动脉瘤介入栓塞术和机器人引导下脑立体定向血肿碎吸术,术后患者意识逐渐清醒,转危为安。
??62岁的患者孙先生,4月中旬时,突然出现意识不清、右侧肢体活动无力症状,在当地医院进行颅脑CT检查,显示左侧丘脑出血,当地医院给予血肿穿刺引流手术和气管切开手术,治疗后孙先生逐渐清醒,家人们松了口气,以为孙先生终于跨越难关。
??没想到5月7日,孙先生再次出现意识丧失,且意识障碍进行性加重,并伴有发热。复查颅脑CT显示脑干出血,病情危急,家属紧急将患者转入潍坊市中医院救治。
??入院后,为明确孙先生多次脑出血的原因,复查颅脑CT并急查颅脑动脉CT血管成像,显示其左侧大脑后动脉P2段有动脉瘤,且动脉瘤已破裂并破入脑干,左侧基底节出血,出血量约为30毫升,情况十分危急。

??术前颅脑CT

??术前CTA

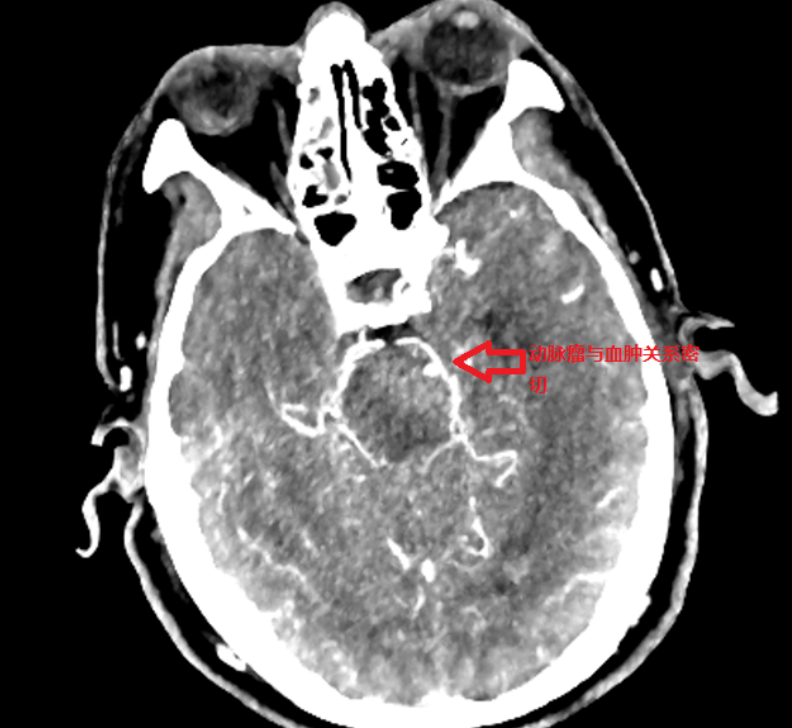
??颅脑CTA原始图像示动脉瘤与血肿关系密切
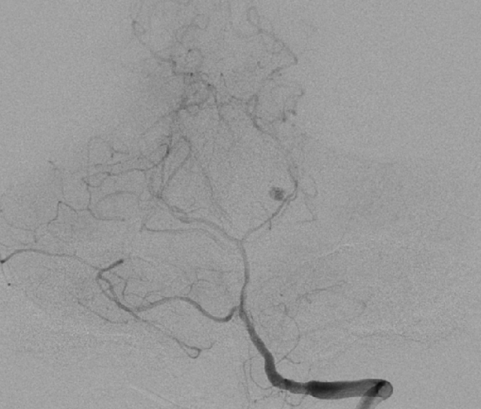
??脑动脉瘤
??脑动脉瘤被称为脑部“不定时炸弹”,是非常凶险的出血性疾病,随时可能再次破裂出血。如处理不当,患者随时可能因失去手术时机而导致死亡。
??神经外科周垂贤主任带领团队紧急进行病例讨论,最终确定了颅内动脉瘤介入栓塞术+机器人引导下脑立体定向血肿碎吸术的治疗方案。事不宜迟,神经外科团队立即着手实施手术,同时联系麻醉科和介入导管室立即开通绿色救治通道。

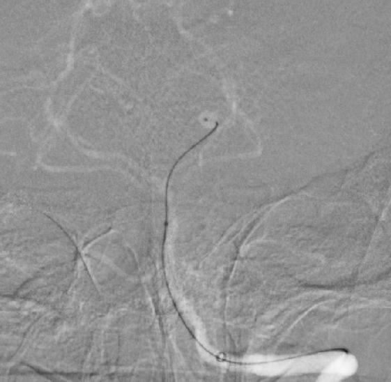
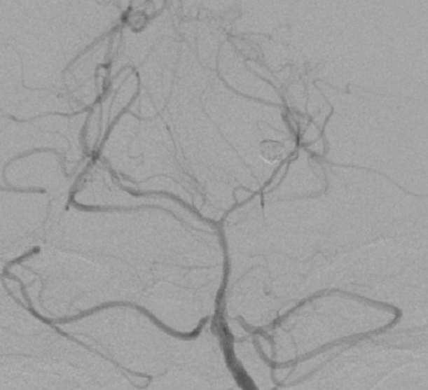
??术中造影见左侧大脑后动脉纤细

??术中微导管到位

??动脉瘤栓塞完全

??机器人引导下脑立体定向血肿碎吸术
??在多科室的密切合作下,周垂贤主任凭借精湛的手术技能,成功实施颅内动脉瘤介入栓塞手术,将动脉瘤完全栓塞,手术第一阶段顺利完成。手术第二阶段,经过术前严密规划,神经外科团队在机器人引导下实施脑立体定向血肿碎吸手术,机器人协助让手术效率大大提升,术中抽出血肿29毫升。整个手术在2小时内顺利完成。
??患者术后逐渐苏醒,未再出现发热症状,现患者左侧肢体能够自主活动。(通讯员 纪哲)