多了个“心眼儿”怎么办?
??鲁网5月27日讯 吴大妈今年六十一了,近期频频出现活动后喘不上气的症状,来潍坊市人民医院做了心脏彩超发现是“房间隔缺损”,意味着房间隔上有一个“心眼”、“孔洞”,也就是心脏的左右心房间多了个“心眼儿”。
??心外科姜文斌团队经过详细检查讨论,考虑老人年龄大,大切口手术抵触情绪强烈,外科手术风险高,结合食道超声结果,制定了更为合适的经胸微创房间隔缺损封堵手术方案。
??术中采用经胸骨旁3cm的手术切口暴露右心房,在精确食道超声引导下,带有封堵器的输送鞘直接经右心房送入房间隔缺损部位,封堵器的两片“小伞”将像三明治一样将缺损完全封闭。食道超声反复确定封堵器稳固后撤出“封堵器保险绳”,手术顺利完成。术中心脏操作过程仅用10分钟左右,术后患者于手术室即刻拔除气管插管,安返病房。术后吴大妈恢复迅速,第2天就能下床活动,目前已经顺利出院。

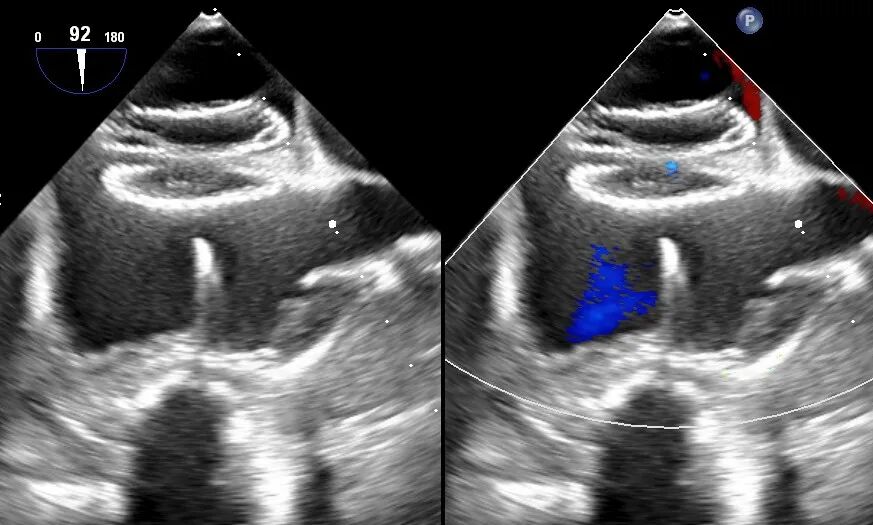
??术中经食道心脏彩超提示封堵器形态良好,无明显反流
??以往对该疾病的外科治疗,是“开胸锯骨”建立体外循环,一般要开20cm以上的刀口,创伤较大、术后恢复慢,还要在体内存留4-5根钢丝,留下明显切口瘢痕,影响美观。常规外科手术治疗虽然技术非常成熟,但创伤相对较大,并且需要承受体外循环对心脏的打击,许多病人及家属对此都较难接受。
??经X线引导下行经皮房间隔缺损封堵虽然表面创伤小、术后恢复快,但由于其手术径路长、迂曲、易出现股动静脉瘘、封堵器脱落等严重并发症,除了射线对身体的不利影响外,对缺损的类型及边缘大小等适应症有着严格的要求。
??而经胸骨小切口封堵器治疗先天性心脏病房具有以下优点:
??1.手术创伤较小,避免体外循环对心脏的打击,术后恢复快,手术疤痕小。
??2.可选用大小更合适的封堵器型号,发生心脏传导阻滞的概率更小,术中可以选择“保险绳”技术,封堵的适应症可以适当放宽,安全性更高。
??3.径路短,对入路的要求低,无需考虑外周血管情况,操作更为直接,损伤重要脏器的风险更低。
??4. 避免了介入治疗过程中放射线的照射。
??5.住院费用低,减轻了患者的经济负担。
??6. 可在超声引导下实行可吸收封堵器的经胸封堵,术后患者体内无异物残留。
??将常规开胸的心脏手术微创化、简单化是心外科今后的发展趋势,在保证患者生命安全的前提下,实现微创、免输血、不接触X线和造影剂的“绿色”介入治疗也一直是潍坊市人民医院心外科的努力方向。(通讯员 姜文斌)