潍坊市人民医院成功开展内镜下经口咽旁间隙肿瘤切除术
??鲁网2月18日讯 近日,74岁的王大爷突然感到吞咽有阻碍感,并伴左侧咽痛加重。曾在当地医院就诊,颈部CT检查发现口咽部左侧有占位,误诊为咽部脓肿,给予抗生素等抗感染治疗1周,但效果不佳。王大爷和家属非常担忧和焦虑,于是慕名到潍坊市人民医院耳鼻咽喉头颈外科主任医师苑铁君的门诊寻求治疗。苑铁君主任医师在接诊病人并仔细查阅颈部CT后,考虑患者目前的诊断为咽旁间隙肿瘤,建议手术切除肿瘤。
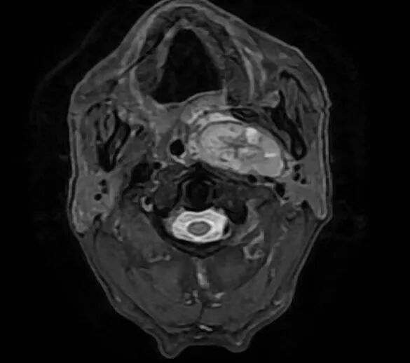
??患者入院后完善颈部MR示:左侧咽旁间隙见卵圆形等T1,长T2信号,增强扫描不均匀强化,病灶最大截面积5.0cm×2.3cm。左侧咽腔明显受压变窄。
??困难重重

??咽旁间隙肿瘤位置深且结构复杂,包含腭升动脉、咽升血管、颈内动脉、颈内静脉、后组脑神经等,手术切除具有挑战性。
??传统经颈、经腮腺入路暴露肿瘤内上极困难,存在脑神经功能损伤风险;下颌骨裂开及颞下窝进路可以充分暴露肿瘤,但创伤大、术后并发症多,常伴有颞下颌关节咬合功能紊乱和面容损毁;经口入路切口肿瘤边界暴露不清,可能导致腭大神经和腭小神经损伤,导致软腭运动或牙龈及口腔黏膜感觉障碍。
??迎难而上
??苑铁君主任医师及陈尧副主任医师带领咽喉头颈外科学组反复深入探讨各种手术入路的优缺点,并与患者及家属进行充分的沟通。在综合考虑各种因素后,最终确定采用内镜辅助下经口翼下颌韧带旁内进路切除肿瘤的手术方式。这种手术入路的优势在于:
??01、暴露充分:能够提供最佳的视野,从而保证手术的精确性。
??02、创伤?。河捎谇锌诮闲?,所以手术创伤相对较小,有利于患者术后快速恢复。
??03、术后面颈部无疤痕:术后面颈部无疤痕:该手术入路经过口腔,所以术后患者面颈部不会留下明显的疤痕,保持了美观。
??通过采用内镜辅助下经口翼下颌韧带旁内进路切除肿瘤的手术方式,可以最大限度地提高手术的安全性和有效性,同时也可以满足患者对美观的需求。
??圆满成功
??在麻醉二科团队的积极协助下,咽喉头颈外科团队首次采用经口翼下颌韧带旁内进路,成功完成了咽旁间隙鸡蛋大小肿瘤的完整切除手术。
??术中未出现任何血管神经损伤,术后病理诊断为多形性腺瘤?;颊呶闯鱿秩魏问质醪⒎⒅ⅲ释醇巴萄首璧哺械炔皇释耆?。
??患者及家属对手术效果非常满意。此次手术是咽喉头颈外科学组的一次开创性尝试,并取得了成功。(通讯员 耳鼻喉科 韩荣荣)